歯の本来の機能と美しさを取り戻す治療
むし歯の治療で削ったところや、歯が欠けてしまったところなどを、覆って補うものを「被せ物」といいます。歯を本来の形に戻すことで、かみ合わせなどの機能面も戻ることが期待できます。これまでは金属で作る被せ物、いわゆる「銀歯」が口の中で目立ってしまいがちでしたが、近年では歯と同じような白い素材で治療跡を目立たなくすることもできます。
また、治療跡でなくても、「黄ばみが気になる…」など歯の色について悩みがある人もいらっしゃるでしょう。そのような場合は、ホワイトニングがおすすめです。
当院では、皆様が理想としている歯に近づけるよう、白いセラミック素材を使った治療や、ホワイトニングも取り扱っています。
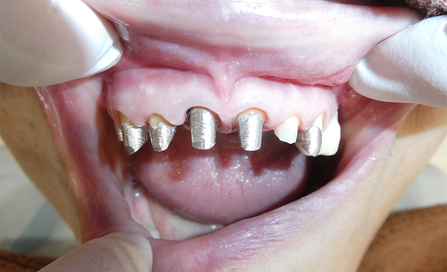
治療経過
このような状態で治療をしております。
被せ物
被せ物には、主に下記の素材を使用します。単体で使ったり、組み合わせて使ったりします。
セラミック
白いセラミック(陶材)の素材。時間が経っても変色することがほぼなく、審美的に優れています。割れる可能性があるので、かみ合わせの強いところには不向きです。
ジルコニア
セラミックの1種。「人口ダイヤモンド」とよばれるほど硬く、ほかのセラミック素材よりは強度がありますが、硬すぎてかみ合わせで当たる歯に負担がかかる可能性があります。色は白く、審美性も高いです。
メタル(金属)
一般的にいわれる「銀歯」は、いろいろな金属が混ざっている「銀合金」です。強度があり、加工しやすいですが、審美性では劣り、金属アレルギーの一因になる可能性があります。
「金歯」も、ほかの金属が混ざっている「金合金」です。銀歯よりもよい金属を使っているので、金属アレルギーのリスクは減ります。目立つ色なので、審美性は劣ります。
レジン(プラスチック)
歯科用のプラスチック素材です。白い色ですが変色しやすく、やわらかい素材なので傷がつきやすいです。
被せ物の種類には下記があります。
ジルコニアクラウン
内側に強度のあるジルコニアを、外側に審美性の高いセラミック素材を使用しています。白く目立たず、時間が経っても変色がほぼ見られないのが特徴です。傷がつきにくく、歯垢なども付着しにくいので清潔です。保険適用外。
術前
治療中
術後
e-maxクラウン
特殊なセラミックでできています。一般的なセラミック素材よりも強度があり、色の再現性が優れているので、天然の歯と同じような色で作れます。保険適用外。
メタルボンドセラミック
内側に金属を、外側にセラミック素材を使用しています。強度と審美性を兼ね備えています。セラミック素材は白ですが透過性があるので、内側の金属の色が透けて見えてしまう可能性があり、やや審美性に劣るところがあります。保険適用外。
ハイブリッドセラミック
レジン(プラスチック)にセラミック素材の細かい粒子を混ぜて、強度や審美性などを高めています。基本的にはレジンなので、色は白いですが時間が経つと変色します。保険適用外。
ゴールドクラウン
金合金を使った、いわゆる「金歯」です。一般的に「銀歯」よりもいい金属を使っていることが多く、機能性や耐久性に優れています。金色なので目立ちやすく、審美性は劣ります。保険適用外。
HR(硬質レジン前装冠)
内側に金属を、外側にレジンを使用しています。強度があり、セラミックほど自然ではありませんが白くできるというメリットがあります。前から3番目の歯までは保険適用。
FMC(フルメタルクラウン)
銀合金を使った、いわゆる「銀歯」です。強度がありますが、目立つので審美性は劣ります。時間が経つと変色したり、溶け出したりするので、金属アレルギーの一因になる可能性があります。保険適用。
ホワイトニング
コーヒーやカレーなどの食事、加齢などが原因で、歯は黄ばんでしまいます。日本人は欧米人ほど歯の白さにこだわりが見られませんでしたが、近年ではその意識が変わりつつあり、第一印象を左右する重要なパーツだと考えられるようになってきました。
こんな人に特におすすめです
- 人と接する機会が多い仕事をしている
- 結婚式など大きなイベントがある
- 同窓会やパーティーなど、たくさんの人に会う予定がある
- 就職や転職で、新しい環境が始まる
- 自信のある笑顔で第一印象をよくしたい
当院では、自宅でできる「ホームホワイトニング」を導入しています。何度も通院する必要がなく、好きな時間にできるので忙しい人も白い歯をめざせます。
Q&A
| Q | セラミック素材はむし歯になりにくいと聞きましたが、本当ですか? |
|---|---|
| A | はい、なりにくいといえるでしょう。セラミック素材は表面がツルツルしている上に傷がつきにくく、むし歯の原因になるプラークが付着しにくいという特徴があります。また、治療したところがむし歯になってしまうことがありますが、これは修復物と天然歯に隙間ができてしまうからです。セラミック素材は硬すぎず天然歯に負担をかけることが少ないので、隙間が生まれにくいというメリットもあります。 |
| Q | 「メタルフリー」という言葉を聞いたことがありますが、どういう意味ですか? |
| A | お口の中に金属のものを使わないということです。保険が適用される金属(銀歯)は、使っているうちに徐々に溶け出し、体内に取り込まれることで金属アレルギーの原因になっているかもしれないことがわかりました。このような健康面でのリスクを減らすためにも、金属を使わない素材の方が安心できると考える人が増えています。 現在、銀歯があって気になる人も白い素材に変更できますので、ご相談ください。 |
| Q | 自分にはどの素材が合っているのかわかりません。 |
| A | 治療に使われる素材には、それぞれメリットとデメリットがあります。診察をした上で患者様のご要望やライフスタイルをうかがい、お一人おひとりに合う素材をご提案させていただきます。 |
| Q | ホワイトニングはどれくらいで効果が出ますか? |
| A | 個人差がありますが、1~2週間ほどで一定の効果を感じる人が多いようです。 |
| Q | ホワイトニングはどんな歯でも白くなりますか? |
| A | 天然の歯に効果があります。むし歯や歯周病がある部分、詰め物や被せ物などの修復物の部分には効果が出ません。むし歯や歯周病の部分は、ホワイトニング前に治療することをおすすめします。 |





